Germ cell tumors
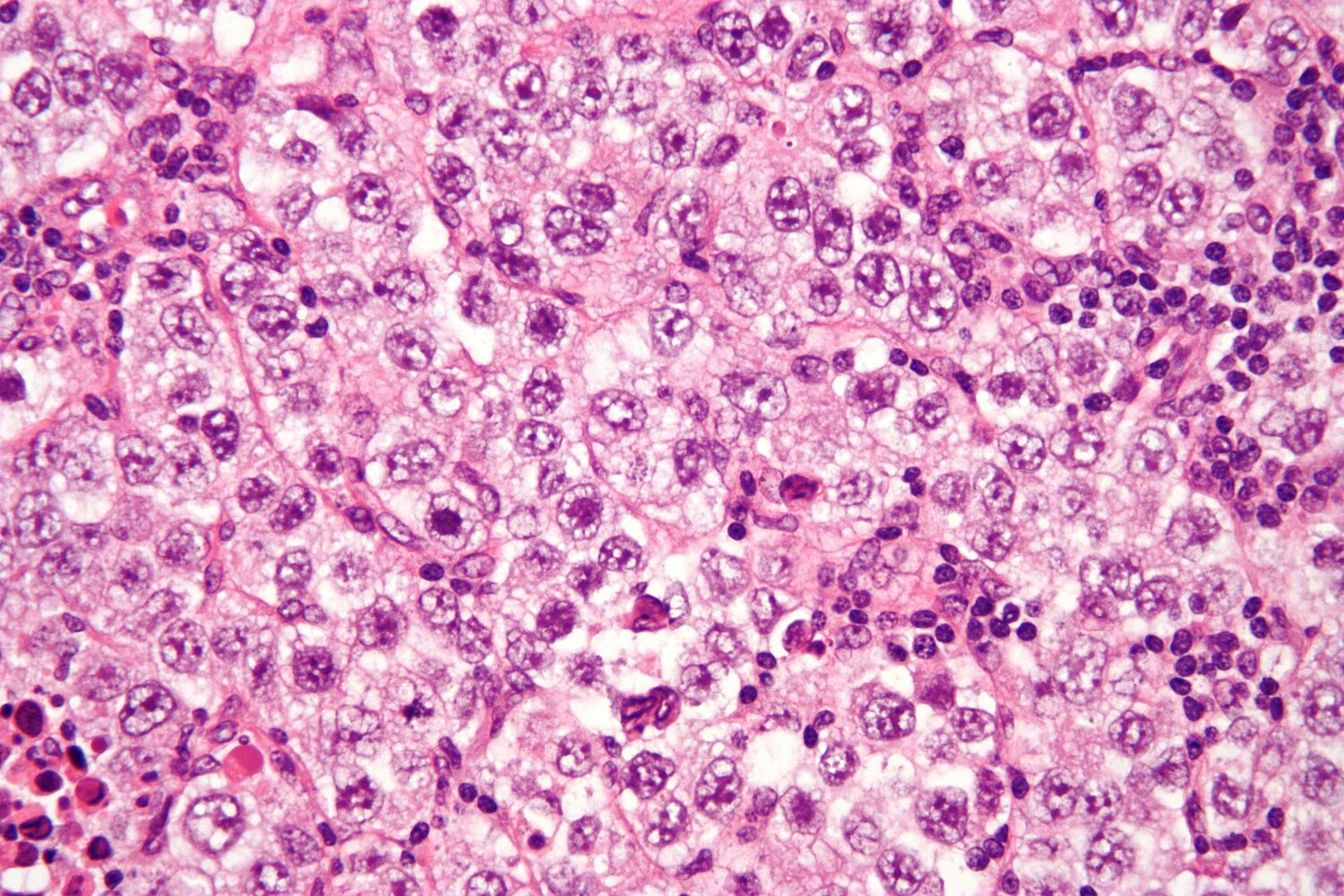
Seminoma (most common)
- Characteristics: Malignant; painless; homogeneous testicular enlargement.
- Epidemiology: Most common testicular tumor; age 15–35.
- Histology: Large cells with clear cytoplasm and central nuclei (“Fried egg” appearance).
- Markers: ↑ Placental ALP (pALP); rare ↑ β-hCG. Normal AFP.
- Prognosis/Tx: Excellent prognosis. Highly radiosensitive. Late metastasis.

Mnemonic
Semen eats egg.
Non-Seminomatous Germ Cell Tumors (NSGCT)
- General features: More aggressive, early hematogenous spread, not radiosensitive (chemo/surgery required).
- Yolk Sac (Endodermal Sinus) Tumor
- Epidemiology: Most common testicular tumor in children < 3 years old.
- Histology: Schiller-Duval bodies (resemble primitive glomeruli).

- Markers: ↑ AFP (highly characteristic).
- Choriocarcinoma
- Characteristics: Malignant, disordered proliferation of syncytiotrophoblasts and cytotrophoblasts (placental tissue).
- Spread: Early hematogenous spread to lungs (“Cannonball metastases”) and brain. t
- Markers: ↑↑ β-hCG.
- Clinical: Gynecomastia (hCG mimics LH); Hyperthyroidism (hCG mimics TSH, due to shared α-subunit).
- Embryonal Carcinoma
- Characteristics: Malignant, painful mass with hemorrhage and necrosis.
- Histology: Glandular/papillary morphology.
- Markers: ↑ hCG, ± ↑ AFP (if mixed).
- Teratoma t
- Characteristics: Contains tissue from all 3 germ layers (neural, muscle, cartilage).
- Adults: Generally malignant.
- Children: Generally benign.
Tip
HCG is always elevated in choriocarcinoma and sometimes elevated in seminoma. AFP is always elevated in yolk sac tumors. Both AFP and HCG may be elevated in mixed germ cell tumors.
Non–germ cell tumors
Leydig cell tumor
- Microscopy: Reinke crystals (eosinophilic cytoplasmic inclusions)

Extragonadal germ cell tumors
- Definition: primary germ cell tumors that arise outside of the gonads, anywhere along the body’s midline from the pineal gland to the coccyx.
- Epidemiology: 5–10% of all germ cell tumors; mostly affects young males
- Location
- Midline organs
- Mediastinal > retroperitoneal > intracranial (pineal gland and suprasellar region)
- Sacrococcygeal teratomas
- Most common in infancy or early childhood
- Symptoms
- Chest pain, dyspnea (on exertion), cough
- Diagnosis
- Testicular ultrasound: to rule out gonadal primary tumor
- Tumor markers: alpha fetoprotein (AFP) and human chorionic gonadotropin (HCG)
- Tumor biopsy (confirmatory)