Epidemiology
Etiology
- Pathogen: herpes simplex virus
- Neonates: both HSV-1 and HSV-2
- Generalized necrotizing hemorrhagic encephalitis may especially occur with HSV-2 infection in neonates or immunocompromised patients (e.g., with HIV-AIDS), which can affect the insular cortex, brain stem, and cingulate gyri. HSV-2 primarily causes a benign course of viral meningitis in immunocompetent adults.
- Adult: usually HSV-1
- HSV-1 predominately affects the medial temporal lobes with or without inferolateral frontal lobe involvement.
- Neonates: both HSV-1 and HSV-2
Tip
HSV encephalitis is mainly caused by HSV-1, whereas HSV meningitis is typically caused by HSV-2.
Pathophysiology
Clinical features
Prodromal phase
- Duration: a few hours to days
- Nonspecific symptoms
- Fever
- Differ from ischemic stroke
- Headache
- Nausea and vomiting
- Fever
Acute or subacute encephalopathy
- Focal neurological deficits (primarily affects the medial temporal lobe)
- Altered sense of smell and loss of vision
- Aphasia
- Memory loss
- Hemiparesis
- Ataxia
- Hyperreflexia
- Seizures (focal or generalized)
- Altered mental status (e.g., confusion, disorientation, lowered level of consciousness)
Tip
HSE may resemble bacterial meningitis, but the combination of altered mental status, seizures, and focal neurological deficits is more common for HSE!
Diagnostics
CSF studies
- Cell count and differential
- ↑ Lymphocytes (lymphocytic pleocytosis)
- Erythrocytes: may be detected in hemorrhagic encephalitis
- Opening pressure
- Normal or ↑
- Lactate
- Variable, normal to mild ↑
- Protein
- Mild ↑
- Glucose
- Normal
Neuroimaging
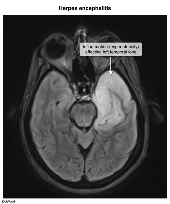
- MRI head
- Characteristic features include signs of unilateral or bilateral temporal lobe edema and/or hemorrhage.
- T1 sequence: hypointense temporal lobe areas
- T2/FLAIR sequence: hyperintense temporal lobe lesions and signal abnormalities

- Characteristic features include signs of unilateral or bilateral temporal lobe edema and/or hemorrhage.
Pathology
- Macroscopic: typical temporal lobe distribution with visible necrosis

- Microscopic
- Hemorrhagic-necrotizing inflammation
- Eosinophilic nuclear inclusions (Cowdry bodies)
Differential diagnostics
| Feature | Meningitis | Meningo-encephalitis | Encephalitis |
|---|---|---|---|
| Fever, leukocytosis | Often | Often | Often |
| Meningeal irritation (e.g. Nuchal rigidity, photophobia) | Often | Often | No |
| Mental status alteration | Sometimes | Often | Nearly always |
| Seizure | Uncommon | More often than in meningitis | Often |
| Focal neurologic findings | Half of patients develop focal findings at some point during the disease course (usually later) | More often than in meningitis | Hallmark feature |
| Typical pathogens | Streptococcus pneumoniae, N. meningitidis, H. influenzae | HSV, VZV, Listeria spp. | HSV, VZV, Enteroviruses |
| *Focal neurologic findings include weakness, visual disturbance, aphasia, cerebellar findings, behavior chang |
Treatment
Prognosis
- Fatal in up to 70% of cases if left untreated
- In patients receiving treatment, the mortality rate is still as high as 20–30%.