- Epidemiology
- Most common in middle-aged men
- ♂ > ♀ (4:1)
- Pathology: mature B-cell tumor; BRAF mutations are common
- Crucially, these hairy cells stimulate the production of reticulin fibers within the bone marrow. This leads to bone marrow fibrosis.
- Clinical features
- Diagnostics
- Usually tartrate-resistant acid phosphatase (TRAP) stain positive
- Flow cytometry (preferred over TRAP stain): CD11c marker
- CBC: Leucopenia is common but up to 20% of patients have leukocytosis.
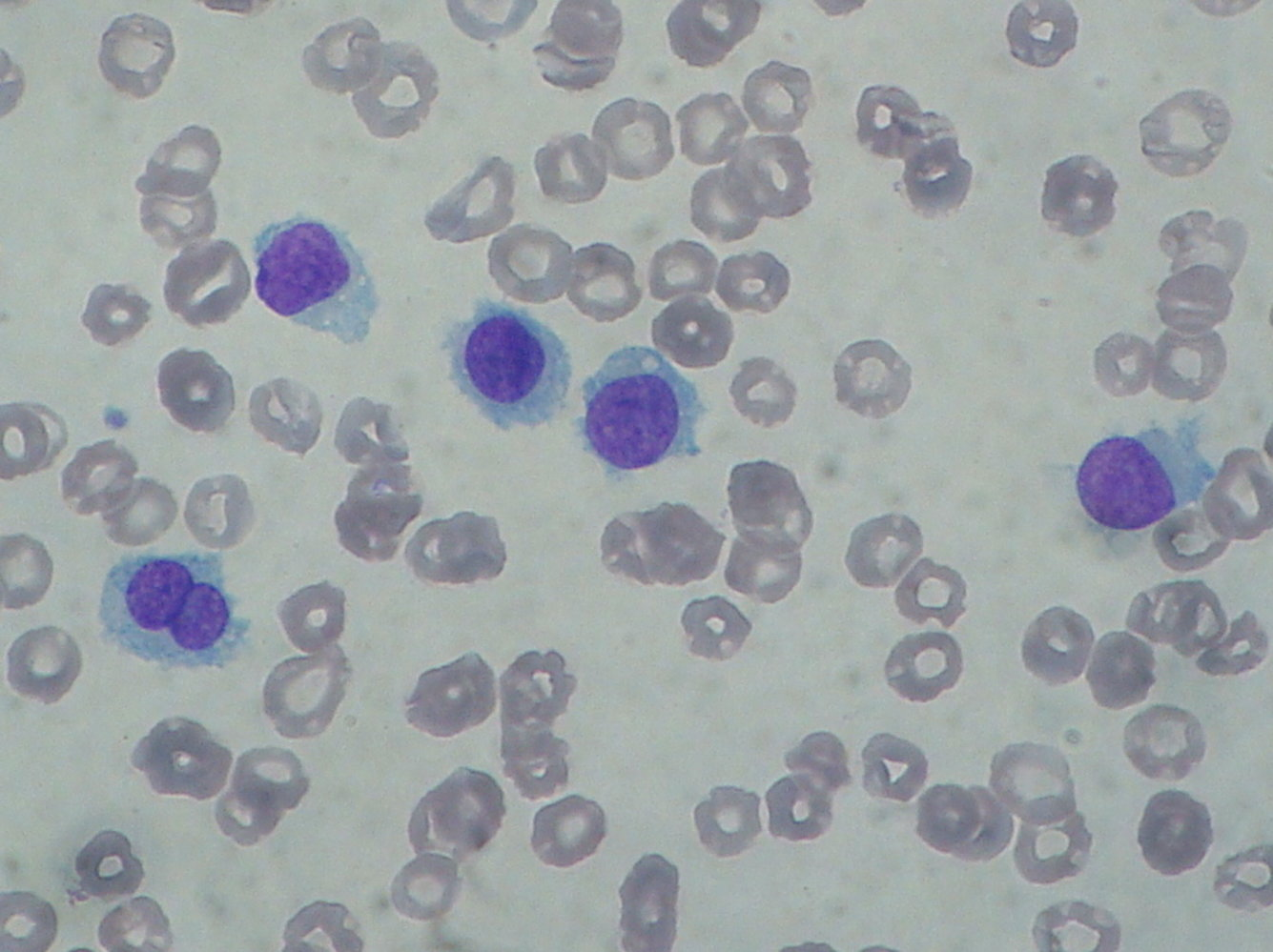
- Peripheral blood smear: Hairy cells have irregular cytoplasmic projections that cause the characteristic “hairy” appearance.

- Bone marrow aspiration: often yields a dry tap due to bone marrow involvement with subsequent fibrosis