- Etiology/Pathophysiology
- Malignant tumor of adipocytes (fat cells).
- Most common soft tissue sarcoma in adults.
- Tends to occur in deep-seated soft tissues, most commonly the retroperitoneum and the extremities (e.g., thigh).
- Associated with specific genetic abnormalities that define its subtypes:
- Well-differentiated/Atypical Lipomatous Tumor (ALT): Characterized by amplification of the MDM2 and CDK4 genes, often on a ring chromosome 12. This leads to inhibition of the p53 tumor suppressor.
- Myxoid Liposarcoma: Associated with a t(12;16) translocation, resulting in a FUS-DDIT3 (or CHOP) fusion protein.
- Dedifferentiated Liposarcoma: A higher-grade tumor that arises from a pre-existing well-differentiated liposarcoma, also carrying the MDM2/CDK4 amplification.
- Clinical Features
- Typically presents in older adults (peak incidence 50-65 years).
- Often presents as a slow-growing, large, painless mass in the deep soft tissues.
- Retroperitoneal tumors can grow very large before causing symptoms, which may include abdominal pain, cramping, or an enlarging abdomen.
- Extremity tumors often present as a palpable mass.
- Diagnostics
- Imaging (CT/MRI): Best initial tests to characterize the mass. A large, deep-seated fatty mass with thickened septa or non-adipose components is suspicious for liposarcoma.
- Biopsy: Required for definitive diagnosis. A core needle biopsy is typically performed on solid, enhancing areas of the tumor.
| Feature | Lipoma | Liposarcoma |
|---|
| Nature | Benign tumor of mature fat. | Malignant tumor of primitive fat cells. |
| Histology | Mature adipocytes; indistinguishable from normal fat. | Presence of lipoblasts (atypical, immature fat cells with scalloped nuclei). |
| Location | Superficial: subcutaneous tissue of the trunk, neck, and shoulders. | Deep: retroperitoneum and thigh are most common. |
| Presentation | Soft, mobile, painless, slow-growing, and well-defined lump. | Large, firm, deep-seated, and often painless mass that can grow aggressively. |
| Prognosis | Excellent; does not metastasize. | Risk of recurrence and metastasis, depending on the subtype and location. |
- Pathology
- Grossly, these are often large, yellowish, and may have gelatinous (myxoid) or firm white (dedifferentiated) areas.
- Histology is key for subtyping:
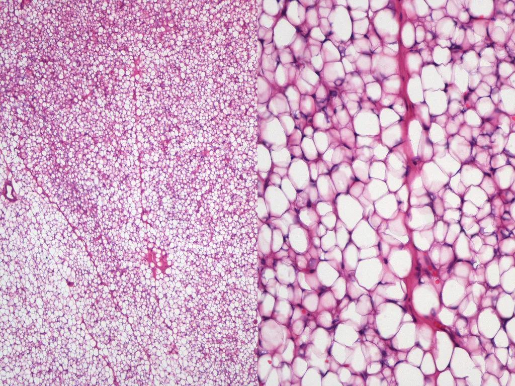
- Well-differentiated Liposarcoma/ALT: Composed of mature-appearing adipose tissue but with scattered atypical, hyperchromatic stromal cells and fibrous septa. Lipoblasts may be present but are not required for diagnosis if atypia is found.
- Termed ALT in the extremities where resection is easier and prognosis is better.
- Termed well-differentiated liposarcoma in the retroperitoneum, where complete resection is difficult.
- Myxoid Liposarcoma: Characterized by a background of myxoid (gelatinous) stroma, a prominent branching capillary network, and small, uniform signet-ring lipoblasts.

- Pleomorphic Liposarcoma: A high-grade, aggressive tumor with sheets of anaplastic cells and numerous pleomorphic lipoblasts (bizarre, multi-vacuolated cells with scalloped nuclei).
- Dedifferentiated Liposarcoma: Shows an abrupt transition from a well-differentiated liposarcoma to a high-grade, non-lipogenic sarcoma.
- Treatment
- Surgical Resection: The primary treatment for all localized liposarcomas. Wide surgical resection is the goal.
- Radiation Therapy: Often used for high-grade or large tumors, either before (neoadjuvant) or after (adjuvant) surgery, to reduce the risk of local recurrence. It is particularly recommended for myxoid subtypes.
- Chemotherapy: Generally reserved for metastatic disease or high-risk subtypes. Anthracycline-based regimens are a standard first-line treatment for advanced disease.
- Prognosis & Complications
- Prognosis heavily depends on the subtype, grade, location, and resectability.
- Metastasis: High-grade subtypes (dedifferentiated, pleomorphic, and high-grade myxoid) can metastasize, most commonly to the lungs.
- Buzzword Alert: Myxoid liposarcoma has a unique tendency to metastasize to other soft tissue sites and bone, in addition to the lungs.
- Recurrence: Local recurrence is a significant issue, especially for retroperitoneal tumors.