Epidemiology
Endemic in western US (as scattered cases in rural areas)
Etiology
- Pathogen
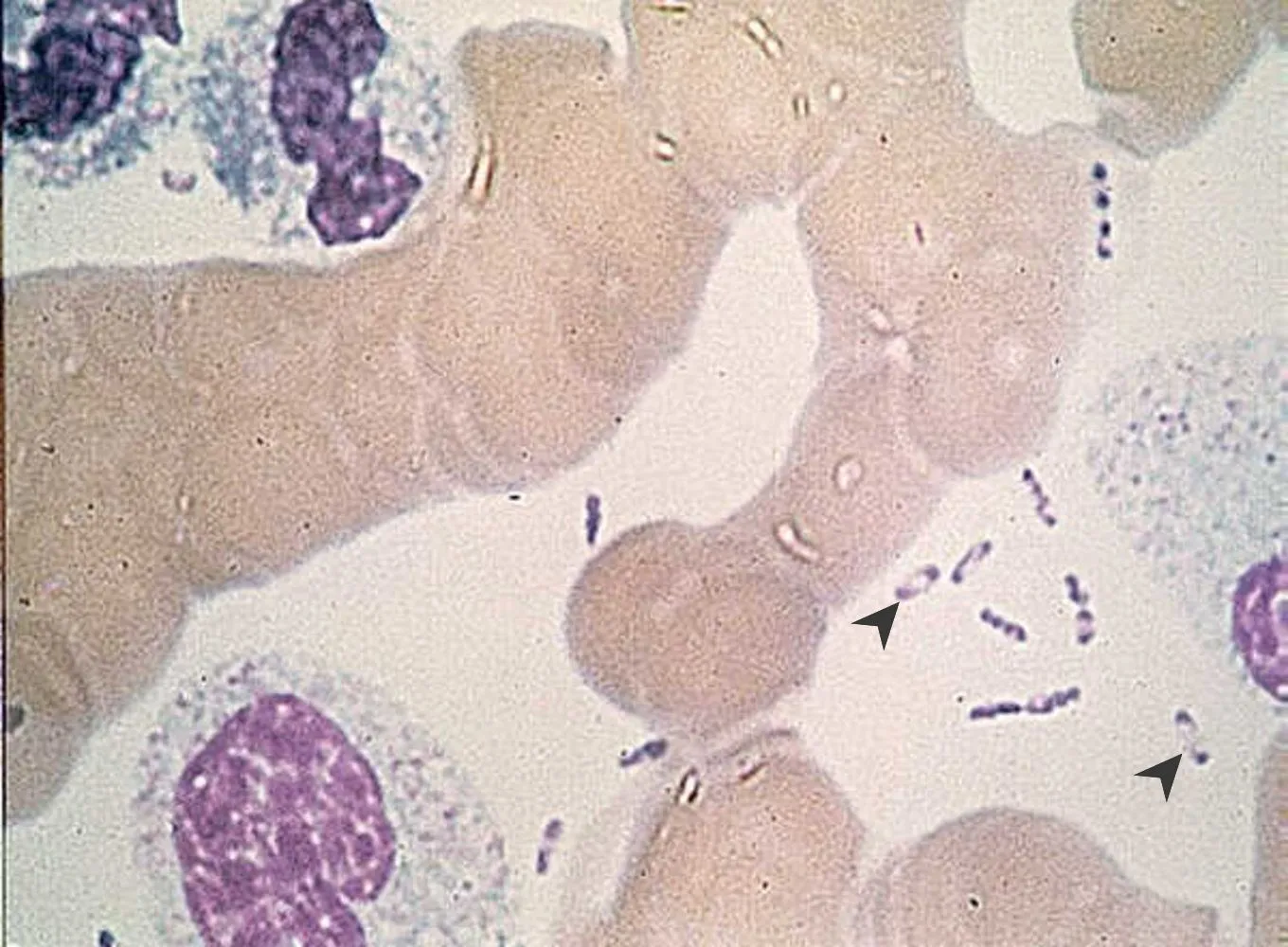
- Caused by Yersinia pestis, a Gram-negative coccobacillus.
- Virulence factors include a type III secretion system, allowing injection of effector proteins (Yops) into host cells, which disrupts phagocytosis and cytokine production.
- Classic microscopic appearance: bipolar staining, giving it a “safety pin” look.

- Reservoir: prairie dogs, squirrels, rodents
- Transmission
- Bites by infected fleas
Pathophysiology
Clinical features
- Bubonic Plague:
- Most common form.
- Abrupt onset of fever, chills, weakness, and headache.
- Development of a bubo: a very painful, swollen, and tense lymph node, most commonly in the inguinal, axillary, or cervical region. The bubo develops near the site of the flea bite.

- Septicemic Plague:
- Can be a complication of bubonic plague or occur primarily.
- Bacteria multiply in the bloodstream.
- Sx: Fever, chills, extreme weakness, abdominal pain, shock.
- Complications: Disseminated intravascular coagulation (DIC), leading to acral cyanosis and necrosis of digits/nose (historically termed “Black Death”).

- Pneumonic Plague:
- Most serious form; can be primary (inhalation) or secondary (spread from bubonic/septicemic).
- Rapidly developing pneumonia with fever, headache, and dyspnea.
- Sputum is often watery, bloody, and frothy.
- Only form that can spread person-to-person via respiratory droplets. High mortality if not treated within 24 hours.
Diagnostics
Treatment
- First-line: Aminoglycosides (specifically Streptomycin or Gentamicin).
- Alternatives: Doxycycline or Tetracycline.
- Prophylaxis: Doxycycline or Ciprofloxacin (for close contacts of pneumonic plague).
- Isolation: Strict respiratory isolation for suspected pneumonic cases (droplet precautions).